2021年3月5日《动静——贵州交通广播》新媒体报道:贵阳人注意!突然长胖,有可能是肾上腺出了问题!
时间:2021-03-08 来源:贵航贵阳医院 浏览量: 分享到:
3月4日,记者从贵航贵阳医院了解到,近段时间,院方接收了一位特殊的肾上腺肿瘤患者丁女士,起因竟是因为该患者突然长胖。
记者了解到,来医院就诊的丁女士发现自己最近变胖了,而且肩背部也逐渐变得“魁梧”,但和普通的长胖不同,她的脸就像盘子一样圆,而四肢胖得并不明显,整个身体显得极不协调,在当地医院检查后发现左侧肾上腺有一个巨大的包块,丁女士随后就诊于省内多家医院,考虑可能是肾上腺瘤,需手术切除。
几经辗转,丁女士带上各家医院的检查结果来到贵航贵阳医院。在医生询问病史中发现,原来丁女士在四年前就已经发现了这个肾上腺占位,当时还合并有糖尿病以及高血压,而且自半年以前就反反复复地出现左侧腰痛,因为疏忽没有引起重视。随后,丁女士立即办理住院进行治疗。
“我发现肾上腺有这个肿瘤已经好几年了,当时一直都没重视,虽然伴随着高血压和糖尿病,但是我一直都在进行药物控制,到今年就发现不行了。”丁女士表示。
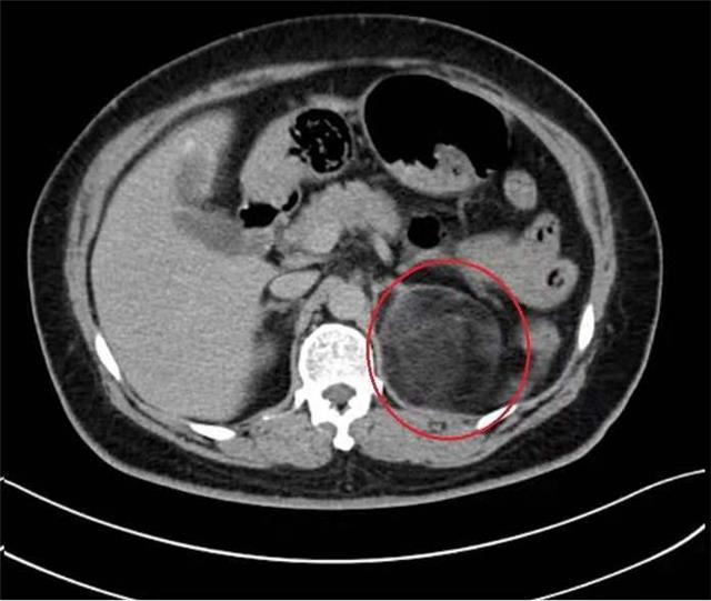
从影像学上看,患者病变肾上腺已压迫同侧的肾脏,如此巨大的瘤体实属罕见,与其说肾上腺上长瘤子,不如说瘤子上长了个肾上腺,且瘤体与周围血管贴合严密,不排除有严重粘连的可能。
“这位患者肾上腺肿瘤手术的切除还是存在一定风险的,一个是手术过程中可能有血压的波动,另外一个它跟周围的血管连接比较紧密,有可能会破坏血管。所以我们为了保证患者生命安全,在术前进行了为期一周的术前准备。”泌尿外科主任医师李永光告诉记者。
据介绍,肾上腺切除的手术风险极高,术中部分患者血压波动剧烈,稍有不慎患者“下不了手术台”的概率极大,手术的安全性不仅要求术者有丰富的手术经验和处理技巧,还需要麻醉医生以及护士的严密配合。
此次手术由泌尿外科主任李永光主刀,因瘤体较大,存在时间长,与周围组织粘连紧密,且肿瘤与大血管关系密切,稍不注意就可能损伤血管,在历时3小时奋战后,通过腹腔镜微创手术切除了这颗“定时炸弹”。
目前,患者生命体征平稳,术后次日即可正常活动,腰痛明显缓解,相信在医护人员及家属共同的呵护下,丁女士能更快更好地投入到新的生活中。
“肾上腺的某些疾病会出现一种向心性的肥胖,比如‘水牛背’这样的情况,一旦出现这种现象,应该及时去检查肾上腺的相关指标是否正常,另外很多高血压的患者,也会出现肾上腺肿瘤,这点也需要特别注意。”李永光说道。
