医生妙手患者拾回信心,锦旗以表感谢
时间:2022-07-19 来源:贵航贵阳医院 浏览量: 分享到:
2022年7月11日脊柱外科收到来自李阿姨一家送来的“医技医德赛华佗,心热似火入家人”“白衣天使 治病救人,病魔克星 功在千秋”的二面锦旗,以表对我们的感激之情及对我们的认可。
患者李阿姨因“行走不稳1+年,加重1+月”入院
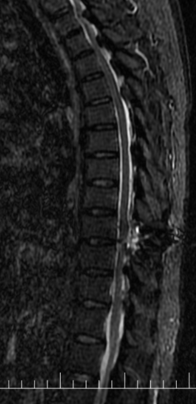
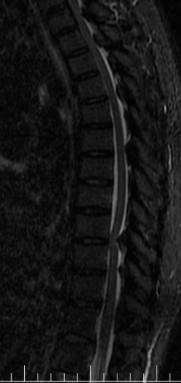
患者1+年前无明显诱因出现行走不稳症状,自诉有“踩棉感”,继而出行行走困难,近1+月明显加重,无法上下楼。对于一个居住在5楼(步梯)的患者来说,出门也变成了奢望。患者曾因为此症状反复就诊于省内外多家三甲医院,因体征不典型及相对复杂的既往史,曾被考虑为“糖尿病周围神经病变”、“焦虑症”等,长达1+年的治疗并没有使症状得到改善,反而逐渐加重,行走都只能靠助行器,甚至弯腰拾物简单的动作都不能执行,抱着尝试再一下的心态,患者就诊于我院,以椎管狭窄收入病房。入院早期因患者既往“焦虑症”的诊断,以及症状体征的不典型也给我科医务工作者在考虑诊断时造成了误导,经过反复积极查体考虑椎管狭窄,于是积极完善了脊柱的影像学检查,颈椎间盘、胸部及腰椎间盘CT:1、颈椎退行性变并颈椎椎管明显狭窄、颈2-3左侧椎间孔变窄;2、胸椎退行性变并胸1-7节段椎管轻度狭窄。胸腰椎MRI回示:1、颈椎退行性变并颈1-7水平后纵韧带增厚、钙化,继发椎管节段性狭窄。2、胸椎多段黄韧带增厚、钙化,继发相应椎管狭窄,脊髓节段变性(胸1-2及胸9-10水平)。结果出来后医生犯难了,问题找到的同时发现狭窄的地方及位置太多了,对于这种颈胸椎多处狭窄的病人想通过一个手术去解决几乎是不可能事情,针对此种情况,科内医师多次病例讨论,结合患者影像学检查、症状及体征,瞄准了T9-10平面的巨大黄韧带骨化。
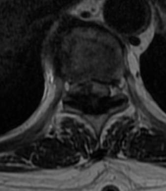
此处黄韧带骨化严重,脊髓压迫严重,椎管狭窄处约只有4mm。考虑到手术难度较大,传统麻醉下手术瘫痪风险甚至可达20%以上,2022年6月24日科室内部邀请医务部参与最终讨论,报请重大手术,并决定使用局部麻醉与全凭静脉麻醉联合,保持术中唤醒随时检查下肢运动功能的麻醉方式,利用椎间孔镜可以直视的优点,行椎间孔镜下胸椎后路T9-T10椎板切除减压、黄韧带摘除、脊神经探查松解术。在2022年6月25日经过长达4小时20分钟的精细操作下最终将患者的压迫解除。几乎完整取出了巨大的骨化黄韧带。
术后积极控制血糖、血压,预防并发症,术后复查见:
患者于2022年7月12日出院。出院时患者已能在平路行走,并在简单搀扶下上下楼梯。
在所有医务人员的努力下通过手术解决患者病痛并让患者可以重新像正常人一样行走,经过20+天治疗,患者终于可以顺利出院。患者以此锦旗感谢。
脊柱外科宣传员 马龙凤撰稿
2022年7月18日
