当心突然的长胖,有可能是肾上腺出了问题
时间:2021-03-03 来源:贵航贵阳医院 浏览量: 分享到:
丁女士发现自己最近变胖了,而且肩背部也逐渐变得“魁梧”,但和普通的长胖不同,她的脸就像盘子一样圆,而四肢胖得并不明显,整个身体显得极不协调,最后在当地医院检查发现左侧肾上腺有一个巨大的包块,丁女士随后就诊于省内多家医院,考虑可能是肾上腺瘤,需手术切除。
几经辗转,丁女士带上各家医院的检查结果来到我院。在医生询问病史中发现,原来丁女士在四年前就已经发现了这个肾上腺占位,当时还合并有糖尿病以及高血压,而且自半年以前就反反复复的出现左侧腰痛,因为疏忽没有引起重视。随后,丁女士立即办理住院进行治疗。
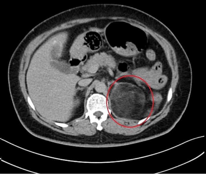
从影像学上看,患者病变肾上腺已压迫同侧的肾脏,如此巨大的瘤体实属罕见,与其说肾上腺上长瘤子,不如说瘤子上长了个肾上腺,且瘤体与周围血管贴合严密,不排除有严重粘连的可能。经科室讨论后决定对该患者实施肾上腺切除。为保证患者生命安全,术前进行了为期一周的术前准备。
在泌尿外科手术中,尤其是肾上腺切除,该手术风险极高,术中部分患者血压波动剧烈,稍有不慎患者“下不了手术台”的几率极大,手术的安全性不仅要求术者有丰富的手术经验和处理技巧,还需要麻醉医生以及护士的严密配合。此次手术由泌尿外科主任李永光主刀,因瘤体较大,存在时间长,与周围组织粘连紧密,且肿瘤与大血管关系密切,稍不注意就可能损伤血管,在历时3小时奋战后,通过腹腔镜微创手术切除了这颗“定时炸弹”。患者目前生命征平稳,术后次日即可正常活动,腰痛明显缓解,相信在我们医护人员及家属共同的呵护下,丁女士能更快更好的投入到新的生活中。
泌尿外科宣传员 刘均南撰稿
2021年3月3日
