我院泌尿外科成功治愈一名巨大体积前列腺患者
时间:2020-10-09 来源:贵航贵阳医院 浏览量: 分享到:
前列腺增生症(hyperplasiaofprostate,BPH)是中老年男性常见疾病之一,发病率随年龄递增,为50岁以上男性常见疾病。前列腺增生的早期由于代偿,症状不典型,随着下尿路梗阻加重,症状逐渐明显,常表现为尿频、尿急、尿不尽、夜尿增多等症状,若疾病进展至后期可导致疝、痔、甚至肾功能衰竭等,严重影响老年朋友们的生活质量和身体健康。
87岁的李大爷五年前开始出现尿频、尿急、夜尿增多等典型的下尿路症状,经常解不出小便需要留置尿管,期间在其他医院治疗效果不尽人意,备受前列腺增生症折磨多年,听闻我院在治疗泌尿系疾病方面有良好的疗效,慕名来到我院治疗。
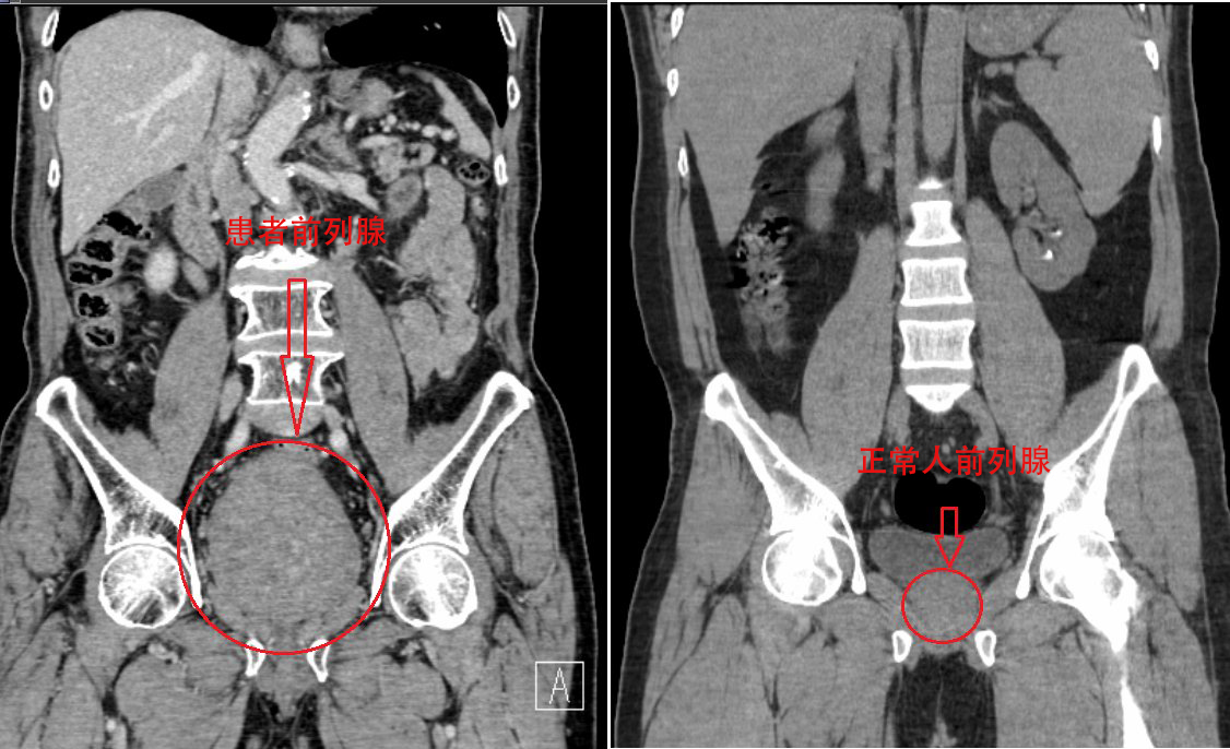
正常前列腺重量约20g,而李大爷的前列腺重量达到惊人的400g!增重近20倍。增生达100g以上已算重度增生,近400g更是罕见。然而,能解决李大爷痛苦的方法只有两种,一种是通过膀胱造瘘或者长期留置尿管,这种方案虽然简单,但是今后的生活及护理极不方便,会给患者造成很大的心理负担。另一种就是将增生的前列腺用我院最先进、最成熟的钬激光“切掉”,最终李大爷选择手术。
大体积前列腺微创手术是我院泌尿外科的优势项目,手术通常30分钟即可完成,但400g的超巨大前列腺手术对于我院还是首次,手术难度较大。术前,全科为李大爷进行了全面的评估,力保高质量完成手术。9月22日,由我院泌尿外科李永光主任为李大爷实施手术,术式采用的是目前创伤最小、恢复最快、技术最新的“前列腺钬激光剜除术”,由于前列腺体积巨大,血运丰富,极易出血,手术风险较大,并且该手术对设备要求很高,普通的电切术式难以应对如此大的前列腺。巨大的前列腺给术者带来很大的挑战。在经验丰富的术者沉着应对下,手术顺利完成。术后3天即拔除尿管,现在李大爷已康复出院。
前列腺钬激光剜除术,是目前临床上治疗前列腺增生症的一种手术方式,且属于微创手术,手术技术成熟,风险小,患者恢复快,效果“立竿见影”,是前列腺增生需要手术治疗的最佳选择!我院作为贵州省最早开展前列腺激光剜除术的医院,将为广大群众提供更优质的诊疗服务。
泌尿外科宣传员 刘均南撰稿
2020年10月9日
