两科联手成功实施一例微创肱骨骨折髓内钉固定手术
时间:2016-12-01 来源: 浏览量: 分享到:
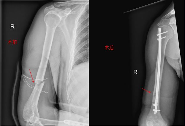
日前,我院手足外科与骨科联手对一位多发上肢严重损伤的患者成功实施了微创肱骨骨折髓内钉固定手术。
手术中,北京航空总医院骨科副主任 、我院骨科主任石少辉(在我院挂职帮扶)亲自主刀,实施微创肱骨骨折髓内钉固定手术,这是我院就此类骨折开展的首例新技术。该技术与以前的钢板螺钉固定有几个明显优势:一是手术小切口、出血少(仅在肩峰下切口约3厘米,出血不到30毫升),患者满意度高。二是创伤小,手术时间短,由于没有进行骨折断端切开剥离,闭合复位,减少了二次创伤及感染率。三是生物力学效果佳,作为中心型交锁内固定,不仅可以控制骨折部位的轴向力线、而且可以防止骨折旋转畸形、降低了内置物断裂的风险 ,患者可以早期功能锻炼及负重。四是充分利用髓内钉弹性固定、应力分散避免应力遮挡作用等优点,避免再骨折发生。目前,该患者术后恢复良好,待手术切口愈合好即可出院。
在今后的工作中,手足外科及骨科将积极进行规范化培训,学习新技术、新业务,提高专业技术水平,让患者得到先进可靠的治疗。
手 足外科宣传员 安宁 撰稿
2016年11月25日
